カテゴリー: 前十字靭帯断裂の自然治癒
-

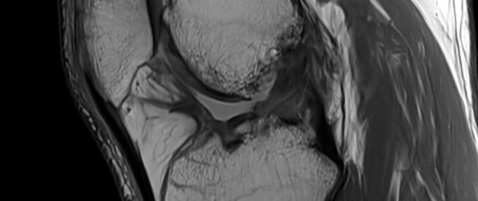
〖自然治癒症例43〗ギリシャ人・50歳女性:前十字靭帯完全断裂が手術なしで良好に自然修復
このページでは、スキー中に左膝の前十字靭帯を完全断裂した「オランダ在住・ギリシャ人・50歳女性」の症例(症例4…
-

【自然治癒症例42】スキー中に断裂した膝の前十字靭帯…彼女が選んだのは“手術しない”選択肢
このページでは、スキー中に左膝前十字靭帯(ACL)を完全断裂した42歳シンガポール人女性が、手術を選ばずにナチ…
-

-

-

-

-

-

-

-


このページでは、スキー中に左膝の前十字靭帯を完全断裂した「オランダ在住・ギリシャ人・50歳女性」の症例(症例4…

このページでは、スキー中に左膝前十字靭帯(ACL)を完全断裂した42歳シンガポール人女性が、手術を選ばずにナチ…







