患者情報と受傷機転
45歳、男性、日本人
2022 年 2 月 5 日、スキー中に転倒し、右膝を捻った。2 月 10 日に、MRI撮影を行い、診断は次のとおりであった。
前十字靭帯完全断裂
内側側副靭帯損傷(グレード2)

2022年2月21日より、当院の前十字靭帯断裂の自然治癒療法をオンラインにて開始した。 6ケ月間、ナチュラリゼーションの運動療法を継続し、2022年8月17日に、再度MRI撮影を行った。


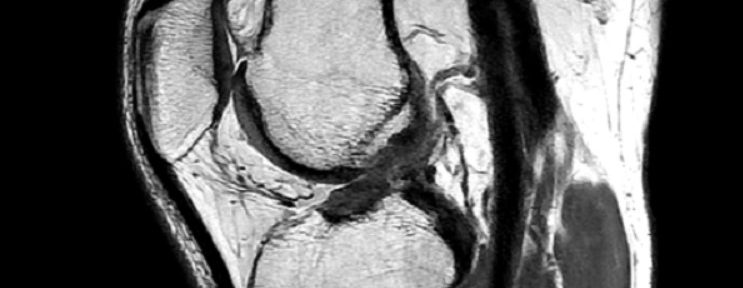
MRIの評価:
前十字靭帯の連続性を確認できる。
今後の展望と考察:
8月17日に撮影したMRIを精査すると、完全に明確ではないが、前十字靭帯の連続性が見られる。 この治癒形態は、Iharaの分類ではⅡ型に分類され、Ⅰ型の完全な治癒形態と比較すると、治癒線維は部分的に細いままである。患者は機能的な回復に関しては、非常に良好であり、2022年8月の時点では、日常生活で痛みや不自由を感じていない。患者は、スキーに復帰したいと考えており、今後も、ナチュラリゼーションだけではなく、筋力トレーニングも行っていく予定である。
参考文献:
- Ihara H, Miwa M, Deya K, Torisu K. MRI of anterior cruciate ligament healing. J Comput Assist Tomogr. 1996 Mar-Apr;20(2):317-21. doi
- Ihara H, Kawano T. Influence of Age on Healing Capacity of Acute Tears of the Anterior Cruciate Ligament Based on Magnetic Resonance Imaging Assessment. J Comput Assist Tomogr. 2017 Mar/Apr;41(2):206-211. doi
- Pitsillides A, Stasinopoulos D, Giannakou K. Healing potential of the anterior cruciate ligament in terms of fiber continuity after a complete rupture: A systematic review. J Bodyw Mov Ther. 2021 Oct;28:246-254. doi


コメントを残す