患者情報と受傷機転
39歳、男性、日本人、職業:自衛官
2021年12月2日、格闘技の練習中に左膝を捻った。2週間後にMRI撮影を行い、以下のように診断された。
左膝前十字靭帯損傷
内側半月板損傷
患者の症状としては、可動域制限があるため歩行に違和感あり。膝を完全屈伸、捻転すると痛む。激しい動きをすると、膝崩れが起きる。


2021年12月20日より、自然治癒に向けて、当院のナチュラリゼーション療法をオンラインで開始した。治療開始から約5ヶ月後の2022年5月9日に、再度MRI撮影を行った。


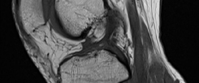
MRIの評価
断裂した前十字靭帯の脛骨側、大腿骨側の断端は共に、後十字靭帯と癒合しているように見える。前十靭帯の断端同士が癒合するという、理想的な自然治癒は起こらなかったが、後十字靭帯と癒合することで、膝の安定性を再獲得したケースである。内側半月板は、内縁部のみの損傷が外縁部まで広がり、血流の多いレッドゾーンに達したことから、今後、自然治癒することが期待できる。
今後の展望と考察
受傷から約8ヶ月後に患者とオンラインで面談した。スポーツ活動も再開し、患者の主観的評価では、受傷前の9割程まで、回復しているとのことであった。今回の例では、断裂した前十字靭帯は、正常には自然治癒せず、後十字靭帯に癒合するという変形治癒であったが、患者の機能回復訓練への努力もあり、膝の不安定性が残存することも無く、十分な機能回復を達成している。
今回、正常な自然治癒が起こらなかった原因は、まだ明確には分からないが、気になった点を記述しておく。一つは、受傷直後、何度か激しい運動を行い、膝崩れを何度か経験していたこと。二つ目は、治療開始後2カ月目辺りに、階段の昇降時に、ある程度の激しい痛みを感じたことがあったことである。今後、変形治癒のケースがあった場合に、比較材料として、このような気になる点をデータとして残していくことにする。


コメントを残す