患者情報:
52歳、日本人、女性
受傷機転:
2022年11月3日、ビーチボールバレーの試合中に、アタック後の着地を左片足で行った時に、同側左膝を捻って崩れ落ちた。
受傷後の経過:
受傷後、他の接骨院にて電気治療等の治療を受けた。11月21日に整形外科を受診し、レントゲン撮影を行うも骨折は無し。この時、関節穿刺にて関節液を抜いた。11月26日にMRI検査を行い、以下の診断を得た。
前十字靭帯断裂
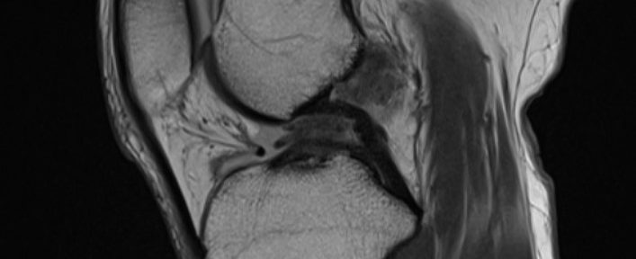
断裂した断端が不明瞭(Iharaの分類Ⅳ)


治療開始
12月3日より当院のオンライン治療を開始し、ナチュラリゼーションの運動療法を毎日3回、自宅で継続した。治療開始から4ヶ月後に2回目のMRI撮影を行った。尚、機能的装具は日常的に装着しなかった。


MRI画像から、断裂した前十字靭帯の断端同士の癒合は確認できなかった。末梢の前十字靭帯断端は後十字靭帯と癒合していた。この時点で、医師によるラックマンテストの評価は陰性であった。その後、関節可動域訓練や筋力トレーニングを行い、日常生活では全く問題を生じないレベルまで回復していた。同年7月からビーチボールを段階的に復帰した。プレー時に、過度に左に体を捻ると、膝に不安定性を感じていた為、テーピングとサポーターを装着し、プレーを行っていた。
7月30日、ビーチボールのプレー中に、再度左膝を捻った。膝は数日間腫脹したので、安静を保った。
10月9日、患者と対面し、徒手検査を行った。ピボットシフトテスト(±)、ラックマンテスト(-)であった。
12月9日、三回目のMRI撮影を行った。
3回目のMRI画像では、2回目と大きな変化はなく、変形治癒のまま形態は固定していると考えられる。



考察:
今回のケースでは、患者を約一年間に渡り治療とサポートをしてきたが、期待した通りの結果は得られなかった。今回の変形治癒に至った原因が3つあると推測した。1つ目は、関節穿刺検査による血種の除去。2つ目は、機能的装具を日常的に装着しなかったこと。3つめは、前十字靭帯の断裂パターンが不明瞭で、自然治癒が困難な状態であったことである。このケースを境に、患者には機能的装具の装着を指示している。
参考文献:
- Ihara H, Miwa M, Deya K, Torisu K. MRI of anterior cruciate ligament healing. J Comput Assist Tomogr. 1996 Mar-Apr;20(2):317-21. doi
- Ihara H, Kawano T. Influence of Age on Healing Capacity of Acute Tears of the Anterior Cruciate Ligament Based on Magnetic Resonance Imaging Assessment. J Comput Assist Tomogr. 2017 Mar/Apr;41(2):206-211. doi
- Pitsillides A, Stasinopoulos D, Giannakou K. Healing potential of the anterior cruciate ligament in terms of fiber continuity after a complete rupture: A systematic review. J Bodyw Mov Ther. 2021 Oct;28:246-254. doi
- Filbay, Stephanie R et al. “Healing of acute anterior cruciate ligament rupture on MRI and outcomes following non-surgical management with the Cross Bracing Protocol.” British journal of sports medicine, bjsports-202


コメントを残す