小中学生の前十字靭帯断裂では、再建手術が骨端線を傷つけ成長を妨げるおそれがあるため、骨の成長が止まる年齢まで経過観察になることが多い。そこで手術に頼らず靭帯の連続性回復を目指すナチュラリゼーション療法が現実的な選択肢となる。本ページの症例46(日本人・12歳男子)は、この方針で保存的に管理し、約4か月後のMRIで連続性の回復(ACLOAS 2)を確認、その後は可動域と筋力を段階的に回復し、約1年で競技復帰に至った。
前十字靭帯断裂の自然治癒療法 / 前十字靭帯自然治癒の症例集
患者情報
- 年齢・国籍:受傷時12歳・日本人男子
- 競技:サッカー
受傷機転
- 受傷日:2023年3月26日
- 状況:試合中。相手の膝が左膝後方に当接 → 前方へ転倒 → 左膝を回旋して受傷
初期対応
- 2023年3月27日:整形外科受診。関節穿刺にて関節液+血液を排出
- 2023年3月30日:MRI①=前十字靭帯(ACL)完全断裂
- 独立読影(3名):3/3名一致で Ihara分類 Ⅲ(断端の変位を伴う断裂)
【Ihara分類 注釈】Ⅰ=直線的な断裂/Ⅱ=湾曲した断裂(単純完全断裂に相当)/Ⅲ=断端の変位を伴う断裂/Ⅳ=断端が不明瞭な断裂

初期方針・治療開始
- 2023年4月1日:松本じゅん接骨院にて ナチュラリゼーション療法 開始
- 来院:週1回 × 3か月
- 在宅運動:1日3回(ナチュラリゼーション運動)
- 管理:膝伸展0〜30°を制限/歩行 ≤3,000歩/日
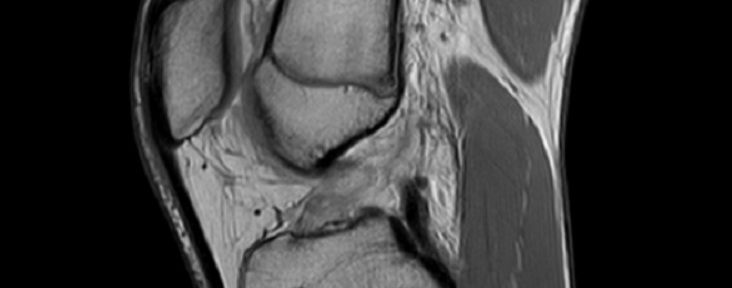
2回目のMRI(約4か月後)
- 撮影日:2023年8月2日(MRI②)
- 独立読影(3名):3/3名一致で ACLOAS 2型
- 所見:連続性は回復。太さは完全ではないが、一定の太さと緊張を獲得
【ACLOAS(native 前十字靭帯)注釈】0=正常(低信号・規則的)/1=肥厚や高信号を伴うが形状・連続性は正常/2=菲薄化・伸長はあるが連続性保持/3=欠損し連続性消失

その後の指導管理(MRI②以後)
- 可動域:全域へ回復
- リハビリ:筋力トレーニング/ランニングを段階的に継続
- 経過:受傷から約1年で、サッカーの練習・試合に復帰
まとめ
- 受傷(2023/03/26):左膝ACL完全断裂(接触 → 転倒 → 捻転)
- MRI①(2023/03/30):Ihara分類 c(独立読影3/3名一致)
- 保存的管理:ナチュラリゼーション 週1×3か月/在宅1日3回/0–30°制限/≤3,000歩
- MRI②(2023/08/02):ACLOAS 2型(独立読影3/3名一致)
- 以後:可動域全域・筋力強化 → 約1年で競技復帰
参考文献:
- Filbay SR et al. Healing of acute anterior cruciate ligament rupture on MRI and outcomes following non-surgical management with the Cross Bracing Protocol. Br J Sports Med.
- Ihara H, Kawano T. Influence of Age on Healing Capacity of Acute Tears of the ACL Based on MRI Assessment. J Comput Assist Tomogr.
- Roemer FW et al. ACLOAS: Longitudinal MRI-based whole joint assessment of ACL injury. Osteoarthritis Cartilage.


コメントを残す