一位來自新加坡的42歲女性在滑雪時撕裂了前十字韌帶,選擇透過進化發展練習來進行自然療癒,而非接受手術。
患者資訊:
- 年齡 / 性別 / 國籍: 42 / 女 / 新加坡
- 受傷日期: 2022年12月11日
- 受傷情況: 在日本滑雪時踩到雪包導致左膝扭傷
- 初次檢查: 2022年12月13日(X光:正常,Lachman測試:陰性)
- 初次MRI: 2022年12月22日
- 診斷結果: 左側前十字韌帶完全斷裂
治療內容:
- 開始治療日期: 2022年12月27日
- 療法: 進化發展練習(線上)
- 支架限制: 膝關節伸展限制在0–30度
- 活動限制: 每日步行限制在3,000步以下
- 訓練頻率: 每天在家進行3次
- 治療期間: 約5.5個月
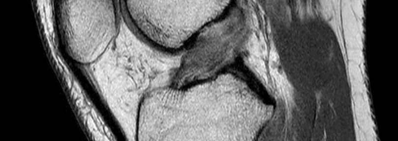
治療前MRI:2022年12月22日
三位獨立放射科醫師根據伊原分類對MRI影像進行評估。
- 伊原分類: 兩位醫師評為類型III(韌帶殘端移位),一位評為類型II(韌帶殘端未移位)

治療後MRI:2023年6月1日
三位放射科專家根據ACLOAS評分系統重新評估MRI影像。
ACLOAS評分定義:
- 分數0: 正常韌帶(訊號低,形狀與連續性正常)
- 分數1: 韌帶變厚或訊號偏高,但仍保持形狀與連續性
- 分數2: 韌帶變細或延長,但仍保持連續性
- 分數3: 韌帶斷裂,完全失去連續性
重新評估結果:
- ACLOAS評分: 三位醫師皆評為分數1(韌帶厚實且連續)

討論:
起初,患者曾接受包含伸展運動的復健計畫,但隨後轉向以限制伸展的進化發展練習。雖然初始MRI顯示為斷裂移位,但五個月後三位醫師均評估其為厚實連續的韌帶(分數1),顯示自然癒合可能使韌帶結構重新連接。2024年1月,她在跑步時再度踩空,膝蓋受到強烈衝擊,雖懷疑再次撕裂,但未再進行MRI檢查。症狀穩定後重新開始復健,最終恢復至足以應付日常生活、休閒滑雪與健行的程度。


發佈留言