Categoria: Il blog dell’italiano
-

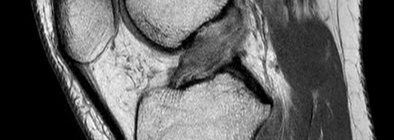
Caso 50 | Rigenerazione Naturale del LCA: Dalla Grave Rottura Ihara IV alla Perfezione Strutturale (ACLOAS 0)
Caso di Guarigione Naturale LCA #50: Rigenerazione Perf…
-

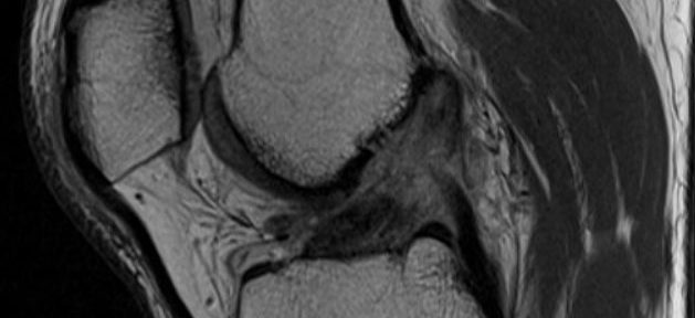
Rapporto sul caso di guarigione naturale del LCA n. 49: Recupero completo a ACLOAS Grado 1 confermato da tre specialisti
Rapporto sul caso di guarigione naturale del LCA n. 49 …
-

Caso 48|Guarigione naturale di una rottura completa del legamento crociato anteriore (25 anni, donna lituana)
Infortunio durante la danza: il legamento crociato ante…
-

Caso 47|Guarigione naturale della rottura completa del LCA con Evo-Devo Exercizi (49 anni, calcio)
Infortunio durante una partita di calcio: rottura compl…
-

Caso 46|Guarigione naturale del LCA in un dodicenne con gli Esercizi Evo-Devo
Nelle rotture del LCA in età di scuola primaria e media…
-

Caso 45|Guarigione naturale del LCA: da rottura completa a continuità
Questa pagina presenta il Caso 45: un uomo ungherese di…
-

Caso 44|Rottura completa del LCA: continuità ripristinata senza chirurgia
Questa pagina presenta il Caso 44: donna indonesiana di…
-

Caso 43: LCA rotto—guarigione senza chirurgia (ACLOAS 1)
Questa pagina presenta il Caso 43: donna greca di 50 an…
-

Donna di 42 anni guarisce naturalmente dal LCA grazie agli esercizi Evo-Devo: caso di una sciatrice di Singapore
Una donna di 42 anni di Singapore ha scelto gli eserciz…
-

Recupero Naturale del Legamento Crociato Anteriore | Caso 41 | Uomo 33 Anni | Exercizi Evo-Devo
In questa pagina presentiamo il caso di un uomo unghere…
