Nelle rotture del LCA in età di scuola primaria e media, la ricostruzione chirurgica può lesionare la cartilagine di accrescimento (fisi) e ostacolare la crescita; per questo molti casi vengono seguiti in osservazione fino alla maturità scheletrica. Come alternativa concreta, gli Esercizi Evo-Devo mirano a ripristinare la continuità del legamento senza chirurgia. Il Caso 46 (maschio giapponese, 12 anni) è stato gestito in modo conservativo secondo questo criterio. La RM a 4 mesi ha confermato la continuità ripristinata (ACLOAS 2). Successivamente sono stati recuperati progressivamente il ROM e la forza, con ritorno allo sport circa un anno dopo l’infortunio.
Terapia online per la guarigione naturale del LCA
Serie di casi: guarigione naturale del LCA
Dati del paziente
- Età/Nazionalità: 12 anni al trauma; maschio giapponese
- Sport: Calcio
Meccanismo dell’infortunio
- Data dell’infortunio: 26 marzo 2023
- Durante una partita: il ginocchio dell’avversario ha colpito posteriormente il ginocchio sinistro → caduta in avanti → torsione del ginocchio sinistro.
Gestione iniziale
- 27 marzo 2023: visita ortopedica; artrocentesi (aspirati liquido articolare + sangue).
- 30 marzo 2023: RM n.1 = rottura completa del legamento crociato anteriore (LCA).
- Letture indipendenti (3 radiologi): concordi, classificazione di Ihara III (rottura con monconi dislocati).
[Note sulla classificazione di Ihara] I = rottura lineare/retta; II = rottura curva (rottura completa semplice); III = rottura con monconi dislocati; IV = monconi indistinti/incerti.

Impostazione iniziale e avvio della terapia
- 1 aprile 2023: avvio dei gli Esercizi Evo-Devo presso la clinica Matsumoto Jun.
- Visite ambulatoriali: una volta a settimana × 3 mesi.
- Programma domiciliare: tre sessioni al giorno (gli Esercizi Evo-Devo).
- Gestione: estensione del ginocchio limitata a 0–30°; cammino ≤ 3.000 passi/die.
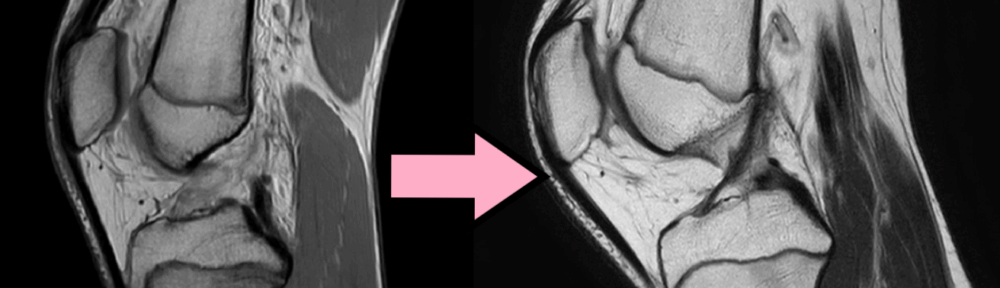
Seconda RM (~4 mesi)
- Data: 2 agosto 2023 (RM n.2)
- Letture indipendenti (3 radiologi): concordi, ACLOAS grado 2.
- Reperti: continuità ripristinata; non spessore pieno, ma spessore e tensione legamentosa definiti.
[Note ACLOAS (LCA nativo)] 0 = normale (basso segnale, regolare); 1 = ispessimento/alto segnale intralegamentoso con forma e continuità conservate; 2 = assottigliamento/allungamento con continuità conservata; 3 = discontinuità (difetto).

Gestione successiva (dopo RM n.2)
- Range articolare: ripristinato a completo.
- Riabilitazione: potenziamento progressivo e corsa.
- Decorso: ritorno ad allenamenti e partite di calcio ~1 anno dopo l’infortunio.
Sintesi
- Infortunio (2023/03/26): rottura completa del LCA (contatto → caduta → torsione, ginocchio sinistro).
- RM n.1 (2023/03/30): Ihara III (concorde, 3/3 lettori).
- Piano conservativo: gli Esercizi Evo-Devo 1/sett × 3 mesi; domicilio 3×/die; limite estensione 0–30°; ≤ 3.000 passi/die.
- RM n.2 (2023/08/02): ACLOAS grado 2 (concorde, 3/3 lettori).
- Poi: ROM completo e potenziamento → ritorno allo sport in ~1 anno.
Riferimenti
- Filbay SR et al. Healing of acute ACL rupture on MRI and outcomes following non-surgical management with the Cross Bracing Protocol. Br J Sports Med.
- Ihara H, Kawano T. Influence of Age on Healing Capacity of Acute Tears of the ACL Based on MRI Assessment. J Comput Assist Tomogr.
- Roemer FW et al. ACLOAS: Longitudinal MRI-based whole-joint assessment of ACL injury. Osteoarthritis Cartilage.


Lascia un commento