Tag: acl tear treatment without surgery
-

Case 42: A 42-Year-Old Singaporean Woman Who Healed a Complete ACL Tear with Evo-Devo Exercises Instead of Surgery
A 42-year-old woman from Singapore chose Evo-Devo Exerc…
-
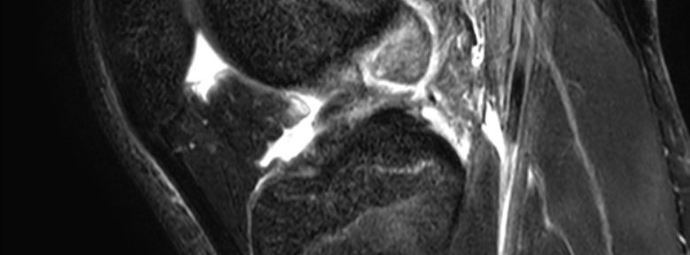
![[Case 39] A 36-Year-Old Male Skier with a Complete ACL Tear Who Achieved Natural Healing through Evo-Devo Exercises: A Case Report](https://jun-matsumoto.com/wp-content/uploads/2025/07/20232.7a-642x288.jpg)
[Case 39] A 36-Year-Old Male Skier with a Complete ACL Tear Who Achieved Natural Healing through Evo-Devo Exercises: A Case Report
This page presents a case report of a 36-year-old male …
-

Case 38: Complete ACL Tear Healed Naturally Without Surgery
ACL Online Therapy for natural healing The case reports…
-

Natural Healing of ACL Tear -case 37- Be careful of the opposite knee!
ACL Online Therapy for natural healing The case reports…
-

An Indian Highschool Boy’s Natural Healing of ACL Tear -case 35
ACL Online Therapy for natural healing The case reports…
-

A Panamanian gentleman’s Natural Healing of ACL Tear -case 34
Natural Healing of ACL Tear ACL Tear Natural Healing Ca…
-

A Professional Footballer’s Natural Healing of ACL Tear -case 32
ACL Online Therapy for natural healing The case reports…
-

Degenerative Healing of an ACL Tear – Case 9
ACL Online Therapy for natural healing The case reports…
-

Degenerative Healing of an ACL Tear – Case 8
ACL Online Therapy for natural healing The case reports…
-

Degenerative Healing of an ACL Tear – Case 7
ACL Online Therapy for natural healing The case reports…
