Tag: acl tear spontaneous healing
-

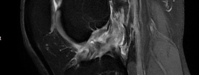
ACL Tear Natural Healing Case Report #50Case 50 | Natural Healing of Complete ACL Rupture: From Severe Ihara Type IV to Perfect Regeneration (ACLOAS Grade 0)
ACL Natural Healing Case Report #50: Most Severe Ihara …
-

Case 44: Complete ACL Tear—Natural Healing With Evo-Devo Exercises
This page presents Case 44: a 33-year-old Indonesian wo…
-

Case 42: A 42-Year-Old Singaporean Woman Who Healed a Complete ACL Tear with Evo-Devo Exercises Instead of Surgery
A 42-year-old woman from Singapore chose Evo-Devo Exerc…
-

Case 38: Complete ACL Tear Healed Naturally Without Surgery
ACL Online Therapy for natural healing The case reports…
-

Natural Healing of a Re-ruptured ACL After Reconstruction
ACL Online Therapy for natural healing The case reports…
-

Natural Healing of ACL Tear -case 37- Be careful of the opposite knee!
ACL Online Therapy for natural healing The case reports…
-

Natural Healing of an ACL Tear: Case Study of a 30-Year-Old Chinese Businessman
ACL Online Therapy for natural healing The case reports…
-

An Indian Highschool Boy’s Natural Healing of ACL Tear -case 35
ACL Online Therapy for natural healing The case reports…
-

A Panamanian gentleman’s Natural Healing of ACL Tear -case 34
Natural Healing of ACL Tear ACL Tear Natural Healing Ca…
-

A Professional Footballer’s Natural Healing of ACL Tear -case 32
ACL Online Therapy for natural healing The case reports…
