In elementary and junior high school ACL tears, reconstruction surgery often risks injuring the growth plate (physis) and hindering growth; thus many cases are observed until skeletal maturity. As a practical alternative, the Evo-Devo Exercise aims to restore ligament continuity without surgery. Case 46 (Japanese male, 12 years old) was managed conservatively under this policy. MRI at 4 months confirmed restored continuity (ACLOAS 2). Range of motion and strength were then progressively regained, and he returned to sport about one year after injury.
ACL Online Therapy for natural healing
The case reports of ACL natural healing
Patient Information
- Age/Nationality: 12 years at injury; Japanese male
- Sport: Soccer
Mechanism of Injury
- Date of injury: 26 March 2023
- During a match: opponent’s knee struck the posterior left knee → forward fall → left knee twisted.
Initial Management
- 27 March 2023: Orthopedic visit; arthrocentesis performed (aspirated joint fluid + blood).
- 30 March 2023: MRI #1 = complete rupture of the anterior cruciate ligament (ACL).
- Independent readings (3 radiologists): unanimous, Ihara classification III (tear with displaced stumps).
[Ihara classification notes] I = linear/straight tear; II = curved tear (simple complete rupture); III = tear with displaced stumps; IV = indistinct/unclear stumps.

Initial Policy & Start of Therapy
- 1 April 2023: Began Evo-Devo Exercise at Matsumoto Jun Judo-Seifukuin.
- Clinic visits: once per week × 3 months.
- Home program: three sessions per day (Evo-Devo Exercise).
- Management: knee extension limited to 0–30°; walking ≤ 3,000 steps/day.
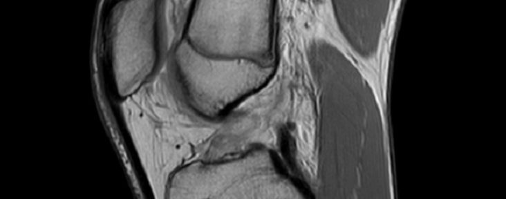
Second MRI (~4 months)
- Date: 2 August 2023 (MRI #2)
- Independent readings (3 radiologists): unanimous, ACLOAS grade 2.
- Findings: continuity restored; not full thickness, but definite thickness and tension obtained.
[ACLOAS (native ACL) notes] 0 = normal (low signal, regular); 1 = thickening/intra-ligament high signal with preserved shape and continuity; 2 = thinning/elongation with preserved continuity; 3 = discontinuity (defect).

Subsequent Management (after MRI #2)
- Range of motion: restored to full.
- Rehabilitation: progressive strengthening and running.
- Course: returned to soccer practice and games about one year after injury.
Summary
- Injury (2023/03/26): complete ACL rupture (contact → fall → twist, left knee).
- MRI #1 (2023/03/30): Ihara classification III (unanimous, 3/3 readers).
- Conservative plan: Evo-Devo Exercise once/week × 3 months; home 3×/day; 0–30° extension limit; ≤ 3,000 steps/day.
- MRI #2 (2023/08/02): ACLOAS grade 2 (unanimous, 3/3 readers).
- Then: full ROM and strengthening → return to sport in ~1 year.
References
- Filbay SR et al. Healing of acute ACL rupture on MRI and outcomes following non-surgical management with the Cross Bracing Protocol. Br J Sports Med.
- Ihara H, Kawano T. Influence of Age on Healing Capacity of Acute Tears of the ACL Based on MRI Assessment. J Comput Assist Tomogr.
- Roemer FW et al. ACLOAS: Longitudinal MRI-based whole-joint assessment of ACL injury. Osteoarthritis Cartilage.


Leave a Reply