ACL Online Therapy for natural healing
ACL tears heal without surgery
Patient information:
59 years old, Male, Japanese
On Dec.28, 2021, he injured his right knee during skiing. On the same day, he was taken to the hospital, and there was no fracture through x-ray. On Jan.13, he was taken to the MRI scanning and diagnoses as:
Complete ACL tear
Buckling of medial meniscus


On Jan.17, he had a surgery for repairing the meniscus, and his knee was immobilized by the cast for three weeks. After the cast was removed, he visited Jun Matsumoto, and he started the Evo-Devo EX. for natural healing of ACL tear. He continued the therapy through face-to-face and online sessions for six months. On August 4, he took the next MRI.


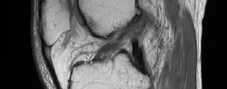
The MRI indicates:
Continuity of ACL fibres
Future prospects and considerations:
In my experience, this is the first case of natural healing of ACL tear after the meniscus repair surgery. I assumed that natural healing would be immpossible, becasue the knee was immobilized for three weeks. Actually, it took a long time to recover the range of motion due to the contracture after the immobilization. Contrary to my assumption, the torn ACL has successfully healed naturally after 6 months of the Evo-Devo EX.. After the natural healing was observed through the second MRI, he started strength trainning as well as Evo-Devo EX. to return to skiing. In October, he already has the normal dialy activities without problem and continues the rehab exercises every day.
References:
- Ihara H, Miwa M, Deya K, Torisu K. MRI of anterior cruciate ligament healing. J Comput Assist Tomogr. 1996 Mar-Apr;20(2):317-21. doi
- Ihara H, Kawano T. Influence of Age on Healing Capacity of Acute Tears of the Anterior Cruciate Ligament Based on Magnetic Resonance Imaging Assessment. J Comput Assist Tomogr. 2017 Mar/Apr;41(2):206-211. doi
- Pitsillides A, Stasinopoulos D, Giannakou K. Healing potential of the anterior cruciate ligament in terms of fiber continuity after a complete rupture: A systematic review. J Bodyw Mov Ther. 2021 Oct;28:246-254. doi


Leave a Reply