患者情報:
37歳、女性、カザフスタン人で現在はアメリカに在住。
2022年2月26日にスキー中に左膝を捻った。MRI撮影により以下の診断を得た。
前十字靭帯完全断裂
このタイプの前十字靭帯断裂は、Iharaの損傷分類によれば破断または不明なタイプ4に分類され、自然治癒するのが最も難しいタイプとされている。


患者は負傷後、理学療法士の下で筋力を強化するためのリハビリテーションエクササイズや10分間のエアロバイクなどを行っていた。その後、2022年4月29日に当院のオンライン治療を通じてナチュラリゼーション療法を開始し、2ヶ月間のオンライン治療を継続した。この期間中、彼女は全ての強化トレーニングを停止し、ナチュラリゼーション療法に集中していた。2ヶ月後には再び筋力強化トレーニングを開始し、2022年11月18日に2回目のMRI撮影を行った。

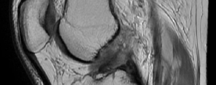
MRIの評価:
2022年11月18日に2回目のMRIを受けた結果、前十字靭帯の明瞭な連続性が示された。この治癒タイプはIharaの治癒分類のグレードIに分類され、引き締まった直線型の治癒形態とされている。
今後の展望と考察:
このタイプの前十字靭帯断裂は、自然治癒するのが最も難しいとされているにもかかわらず、最良の治癒形態にまで治癒していた。その後、患者はリハビリを重ね、半年後にはハーフマラソンを完走することが出来た。
参考文献:
- Ihara H, Miwa M, Deya K, Torisu K. MRI of anterior cruciate ligament healing. J Comput Assist Tomogr. 1996 Mar-Apr;20(2):317-21. doi
- Ihara H, Kawano T. Influence of Age on Healing Capacity of Acute Tears of the Anterior Cruciate Ligament Based on Magnetic Resonance Imaging Assessment. J Comput Assist Tomogr. 2017 Mar/Apr;41(2):206-211. doi
- Pitsillides A, Stasinopoulos D, Giannakou K. Healing potential of the anterior cruciate ligament in terms of fiber continuity after a complete rupture: A systematic review. J Bodyw Mov Ther. 2021 Oct;28:246-254. doi


コメントを残す